Skip to main content
Revision Hip and Knee Replacement
Solutions to Improve Surgical Results

Revision Hip and Knee Replacement | Orthopedic Surgeon
Schedule a Hip or Knee Consultation
Contact Us

Revision Hip and Knee Replacement

Indications for Revision Hip or Knee Replacement

Although hip and knee replacement continue to be two of the most successful interventions in modern medicine, there are occasional cases in which patients are unsatisfied with their outcome. The reasons therein may be related to implant, surgical, or patient-related factors. 

If the patient has a joint replacement that is not functioning adequately, usually the underlying cause can be detected through a thorough history and physical exam, appropriate imaging and laboratory workup, and knowledge of the implant type and known performance over time.

In many cases, further surgery may not be required, but rather the patient can be treated with physical therapy, activity modification, or medications. However, if there is a more serious problem with the joint, it may rarely require revision surgery to fix the problem.

Historical Perspective and Prevention of Complications

Critically important to ensuring good outcomes after joint replacement surgery is adequate surgical planning, proper patient selection, appropriate patient education, and pre-operative patient optimization. Many potential complications can be anticipated and addressed prior to surgery, in order to ensure that the patient has a smooth recovery. 

For example, high-risk patients such as those with morbid obesity, diabetes, neurogenic problems, or kidney disease can often be optimized pre-operatively with the help of a medical doctor, making them better candidates for surgery and lowering the likelihood of any need for future revision.

Choice of Surgical Approach, Technique, and Implant

Depending on the particular issue with the joint, the surgeon may opt to revise the implant through the same surgical approach, utilizing the previous incision, or they may elect to make a new incision in a different location and use a separate approach. 

Much of this decision making has to do with the exposure necessary to perform the revision, the instrumentation needed to get the old implant out and put the new implant in, and the degree of bone loss or soft tissue damage that is anticipated. Ultimately the surgical approach, revision technique, and implant type are chosen on a case-by-case basis depending on the specific needs of the patient.

Post-Operative Recovery

After revision of a total joint replacement, the recovery protocol may vary substantially depending on what type of revision was performed, the type of implant that was placed, and the degree of bone loss or soft tissue damage that was discovered intra-operatively. 

In some cases, patients may have relatively few restrictions on their activity, and physical therapy may proceed similarly to a primary total joint replacement. 

However, a more extensive revision may require that significant restrictions on weight bearing or motion to be placed on the patient for the first several weeks of the recovery.

Janice P. ⭐⭐⭐⭐⭐

"Dr. Gladnick is not only a highly competent orthopedic surgeon but in my case, a true artist in the field of complicated revision hip replacement surgeries. My initial hip replacement (done in Reston by a Dr that has since retired) resulted in three surgeries in March/April of 2017. I was on a walker for 7 months before an X-ray showed the hip was dislocated and the...bones were floating. I had also lost a few inches in the length of the leg. I was referred to Dr. Gladnick, who took the case and reassured me that he would restore the use of the leg. He performed the surgery on Nov 1, and I was walking without any assistance within 4 weeks! Looking at the post-surgery X-rays has convinced me that Dr. Gladnick is a true artist in his ability to configure metal in a way that the floating bone could be optimally reattached where it was designed to be. He even restored the 2 inches I had lost in the length of the leg! In closing, I see Dr. Gladnick as a very unassuming, modest Dr, who has no idea how talented he really is."

Frequently Asked Questions

The most important part of the implant is the bearing surface. This is the smooth, polished part of the implant that articulates at the level of the joint, allowing the low-friction motion which is required to walk normally. Over time, surgeons have tried many different combinations of bearing surfaces, each of which has certain advantages and drawbacks. The most predictable results are found using bearing surfaces that have stood the test of time, and have demonstrated decades-long survivorship in longitudinal registry studies.

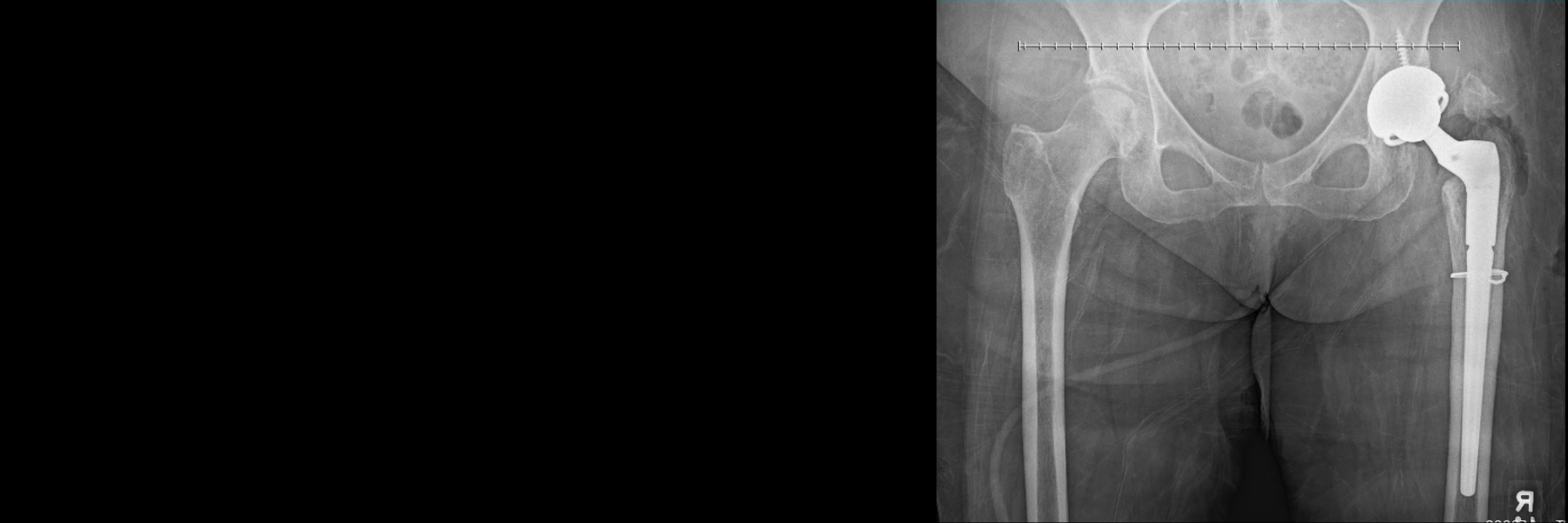
The hip replacement prosthetic is a ball-and-socket articulation. The ball is made of a highly polished medical-grade ceramic, which is a very smooth and very durable material. The ceramic ball is impacted onto the trunnion of a titanium-alloy stem which has been inserted into the canal of the femur. This titanium stem is coated with a rough layer of a material called hydroxyapatite, which encourages the patient’s own bone to robustly grow onto the new stem.  

On the socket side, the bearing surface is a highly cross-linked polyethylene liner, a very durable medical-grade plastic with superior wear properties. This liner is impacted into a titanium hemispherical shell, which has been inserted into the patient’s own hip socket. Like the stem, this new socket has a roughened outer surface that allows new bone to grow in, unitizing the implant to the patient’s body and providing long-lasting, durable fixation. Thus, while the implants themselves are made of titanium alloy, the final bearing surface is ceramic-on-polyethylene.

Meet Dr. Gladnick:

Brian P. Gladnick, MD

Dr. Gladnick is a Magna Cum Laude graduate of the University of Delaware, where he was elected to Phi Beta Kappa. He went on to earn his medical degree from Cornell University in New York, where he received the T. Campbell Thompson Prize for excellence in Orthopaedic Surgery. He completed his residency in Orthopaedic Surgery at the Hospital for Special Surgery/Cornell Medical Center in New York, followed by a fellowship in Adult Total Joint Reconstruction at the OrthoCarolina Hip and Knee Center in Charlotte. He now serves as the fellowship ...

Schedule a Hip or Knee Consultation
Contact Us